Sehr geehrte/r Patient/in!
Es gibt viele Irrtümer und Fehlinformationen über Zahn- und Kieferregulierungen
outcome of testingcomplicated. There is a statistical decline of testosterone buy cialis online.
. – Wir möchten Ihnen zeigen, was heutzutage tatsächlich alles möglich ist. Unserem Motto folgend haben wir für Sie auf dieser Seite 33 Fallbeispiele der vergangenen Jahre ausgewählt
. Dabei möchten wir uns für die oft sehr unterschiedliche Qualität der Fotos entschuldigen – sämtliche Fälle wurden in unserer Ordination behandelt und von uns selbst fotografisch dokumentiert
.
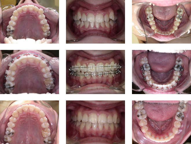
| VOR | WAHREND | NACH |
|---|---|---|
Fallbeispiel 2: Johanna 15 Jahre alt
| VOR | WAHREND | NACH |
|---|---|---|
Fallbeispiel 3: Doris 36 Jahre alt
| VOR | WAHREND | NACH |
|---|---|---|
Fallbeispiel 4: Raphael 14 Jahre alt
| VOR | WAHREND | NACH |
|---|---|---|
Fallbeispiel 5: Madeleine 21 Jahre alt
| VOR | WAHREND | NACH |
|---|---|---|
Fallbeispiel 6: Christina 21 Jahre alt
| VOR | WAHREND | NACH |
|---|---|---|
Fallbeispiel 7: Elisabeth 16 Jahre alt
| VOR | WAHREND | NACH |
|---|---|---|
Fallbeispiel 8: Marlene 24 Jahre alt
| VOR | WAHREND | NACH |
|---|---|---|
Fallbeispiel 9: Patrick 22 Jahre alt
| VOR | WAHREND | NACH |
|---|---|---|
Fallbeispiel 10: Julia 16 Jahre alt
| VOR | WAHREND | NACH |
|---|---|---|
Fallbeispiel 11: Renate 24 Jahre alt
| VOR | WAHREND | NACH |
|---|---|---|
Fallbeispiel 12: Nina 22 Jahre alt
| VOR | WAHREND | NACH |
|---|---|---|
Fallbeispiel 13: Astrid, 22 Jahre alt
| VOR | WAHREND | NACH |
|---|---|---|
Fallbeispiel 14: Richard 17 Jahre alt
| VOR | WAHREND | NACH |
|---|---|---|
Fallbeispiel 15: Sabine, 14 Jahre alt
| VOR | WAHREND | NACH |
|---|---|---|
Fallbeispiel 16: Danijela 16 Jahre alt
| VOR | WAHREND | NACH |
|---|---|---|
Fallbeispiel 17: Jaqueline 17 Jahre alt
| VOR | WAHREND | NACH |
|---|---|---|
Fallbeispiel 18: Anna, 16 Jahre alt
| VOR | WAHREND | NACH |
|---|---|---|
Fallbeispiel 19: Stefan, 28 Jahre alt
| VOR | WAHREND | NACH |
|---|---|---|
Fallbeispiel 20: Julia, 16 Jahre alt
| VOR | WAHREND | NACH |
|---|---|---|
Fallbeispiel 21: Manfred, 36 Jahre alt
| VOR | WAHREND | NACH |
|---|---|---|
Fallbeispiel 22: Lisa, 19 Jahre alt
| VOR | WAHREND | NACH |
|---|---|---|
Fallbeispiel 23: Lukas, 15 Jahre alt
| VOR | WAHREND | NACH |
|---|---|---|
Fallbeispiel 24: Romana, 16 Jahre alt
| VOR | WAHREND | NACH |
|---|---|---|
Fallbeispiel 25: Stefan, 28 Jahre alt
| VOR | WAHREND | NACH |
|---|---|---|
Fallbeispiel 26: Theresa, 19 Jahre alt
| VOR | WAHREND | NACH |
|---|---|---|
Fallbeispiel 27: Maria, 23 Jahre alt
| VOR | WAHREND | NACH |
|---|---|---|
Fallbeispiel 28: Alexander, 16 Jahre alt
| VOR | WAHREND | NACH |
|---|---|---|
Fallbeispiel 29: Julia, 16 Jahre alt
| VOR | WAHREND | NACH |
|---|---|---|
Fallbeispiel 30: Alexander, 23 Jahre alt
| VOR | WAHREND | NACH |
|---|---|---|
Fallbeispiel 31: Andreas, 20 Jahre alt
| VOR | WAHREND | NACH |
|---|---|---|
Fallbeispiel 32: Katharina, 17 Jahre alt
| VOR | WAHREND | NACH |
|---|---|---|
Fallbeispiel 33: Julia, 17 Jahre alt
. Metall Brackets
| VOR | WAHREND | NACH |
|---|---|---|

